Smile Gallery


Smile Gallery of Real Patients. View before and after photos of procedures we perform.

Smile Gallery - Veneers - Before & After
Smile Gallery – Veneers – Before & After

Veneers – Before & After

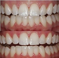
Smile Gallery - Teeth Whitening - Before & After
Smile Gallery – Teeth Whitening – Before & After

Teeth Whitening – Before & After

Invisalign After Before Case 3

Invisalign – Before & After

White Spot Removal - Before After

White Spot Removal – Before & After


How can we help you?

CONTACT US




PHONE: 201-662-1922Call Dentist near you

TEXT: 201-662-1922 text message to dentist near me

WHATSAPP: 201-662-1922Whatsapp Hudson Dental Center To make an appointment

HOURS:

* Call for availability.

Read Our

Testimonials


Our Locations in

West New York

Location: Kennedy Blvd

4914 Kennedy Blvd Ste 201, West New York NJ 07093

We are conveniently located on Kennedy Blvd in Taffaro Plaza and next to Light Rail Station. Located at the border of West New York, Union City, North Bergen

Serving residents of Hudson County and Bergen County.

NJ Top Dentist 2022 - Dentist in West New York
NYU Logo x
OKU Logo
Best Dentist In Jersey City Award

We provide the following services


Have a tooth ache or a dental emergency? We are open Saturdays to take care of your dental emergencies. We are most trusted and highly rated dental office in West New York and Hudson County!

Copyright by Hudson Dental Center (West New York NJ)  2025. All rights reserved.